EU-SEARCH NOVICE | Macron: Obstaja tveganje, da bo Evropa umrla, EU mora ostati ločena od ZDA ...
Macron: Obstaja tveganje, da bo Evropa umrla, EU mora ostati ločena od ZDA (27.04.2024) | newsexchange ... Med govorom o prihodnosti Evrope na univerzi Sorbona v Parizu je imel Macron govor, ki so ga njegovi svetovalci opisali kot načrt za Evropo.Medtem ko opisuje brexit kot eno od "kriz brez ... | Podobno 
EU-SEARCH NOVICE | CDC priznava srčno tveganje za mlade, mora se prekiniti 'cepljenje' proti covid-19 pri ljudeh ≤ 30 ...
CDC priznava srčno tveganje za mlade, mora se prekiniti 'cepljenje' proti covid-19 pri ljudeh ≤ 30 (16.06.2021) | newsexchange ... IZJAVA AFLDS - America's Frontline Doctors/font /b LOS ANGELES, CA - Ameriški zdravniki Frontline so danes objavili naslednjo izjavo kot odgovor ... | Podobno 
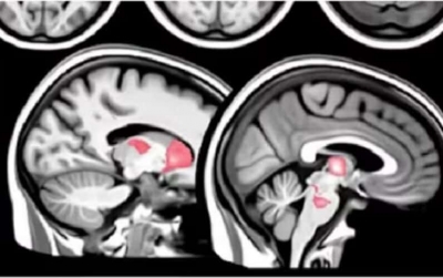
EU-SEARCH NOVICE | Velika študija opozarja: Pri cepljenih proti Covidu obstaja dolgoročno tveganje za poškodbe možganov ...
Velika študija opozarja: Pri cepljenih proti Covidu obstaja dolgoročno tveganje za poškodbe možganov (28.04.2025) | newsexchange ... Skupina vodilnih italijanskih znanstvenikov je izdala zaskrbljujoče opozorilo o katastrofalnih dolgoročnih zdravstvenih tveganjih za ljudi, ki so prejeli mRNA "cepiva" proti covidu.Raziskovalci, ... | Podobno 
EU-SEARCH NOVICE | Da, predor Evropa-Afrika že obstaja – kar prevaža, vas bo pustilo brez besed ...
Da, predor Evropa-Afrika že obstaja – kar prevaža, vas bo pustilo brez besed (13.05.2025) | newsexchange ... Tunel pod vodo/font /b Odkritje podzemnega predora med Marokom in špansko enklavo Ceuta je osvetlilo nov vidik trgovine z drogami v Severni Afriki. ... | Podobno 
EU-SEARCH NOVICE | Evropa je postala nočna mora za vlagatelje: Kazen Appla je opozorilo vsemu svetu ...
Evropa je postala nočna mora za vlagatelje: Kazen Appla je opozorilo vsemu svetu (27.05.2025) | newsexchange ... Evropa je formalno odprta za poslovanje – razen če dejansko poskušate poslovati. Najnovejša kazen Evropske komisije v višini 500 milijonov evrov proti Applu kaže, kako strupen je postal evropski ... | Podobno 
EU-SEARCH NOVICE | Obsežna študija: mRNA »cepiva« lahko trajno uničijo očesne celice – tveganje za slepoto obstaja tudi pri zdravih mladih ljudeh ...
Obsežna študija: mRNA »cepiva« lahko trajno uničijo očesne celice – tveganje za slepoto obstaja tudi pri zdravih mladih ljudeh (17.07.2025) | newsexchange ... Nova znanstvena študija/a /b je v medicinski skupnosti ... | Podobno 
EU-SEARCH NOVICE | Von der Leyen po incidentu z dronom na Poljskem: »Evropa se mora boriti!« ...
Von der Leyen po incidentu z dronom na Poljskem: »Evropa se mora boriti!« (10.09.2025) | newsexchange ... Na robu vojne/font /b V zgodnjih jutranjih urah 10. septembra 2025 je poljsko nebo postalo prizorišče incidenta brez primere: več kot ducat ruskih ... | Podobno 
EU-SEARCH NOVICE | Ta teden sta v Sloveniji umrla po cepljenju dva ravnatelja in župnik! ...
Ta teden sta v Sloveniji umrla po cepljenju dva ravnatelja in župnik! (15.03.2021) | newsexchange ... V Podčetrtku je v 48-tem letu včeraj 12.3. umrl župnik Jožef Rogač zaradi pljučne embolije./div /div Cepljen je bil dober teden nazaj. Mediji molčijo, ... | Podobno 
EU-SEARCH NOVICE | IZRAEL danes: Zeleni potni list,Segregacija, zapestnice za kontrolo gibanja, Evropa in Slovenija Jutri! ...
IZRAEL danes: Zeleni potni list,Segregacija, zapestnice za kontrolo gibanja, Evropa in Slovenija Jutri! (16.03.2021) | newsexchange ... ... | Podobno 
EU-SEARCH NOVICE | Richie Allen: Zakaj sumim, da Covid-19 sploh ne obstaja ...
Richie Allen: Zakaj sumim, da Covid-19 sploh ne obstaja (23.03.2021) | newsexchange ... Do nedavnega sem verjel, da sem morda imel covid-19. Kmalu po božiču 2019 sem zelo zbolel. Prve tri tedne januarja 2020 sem preživel v postelji. Mislil sem, da sem boljši. Moj zdravnik je bil zmeden. ... | Podobno 
|